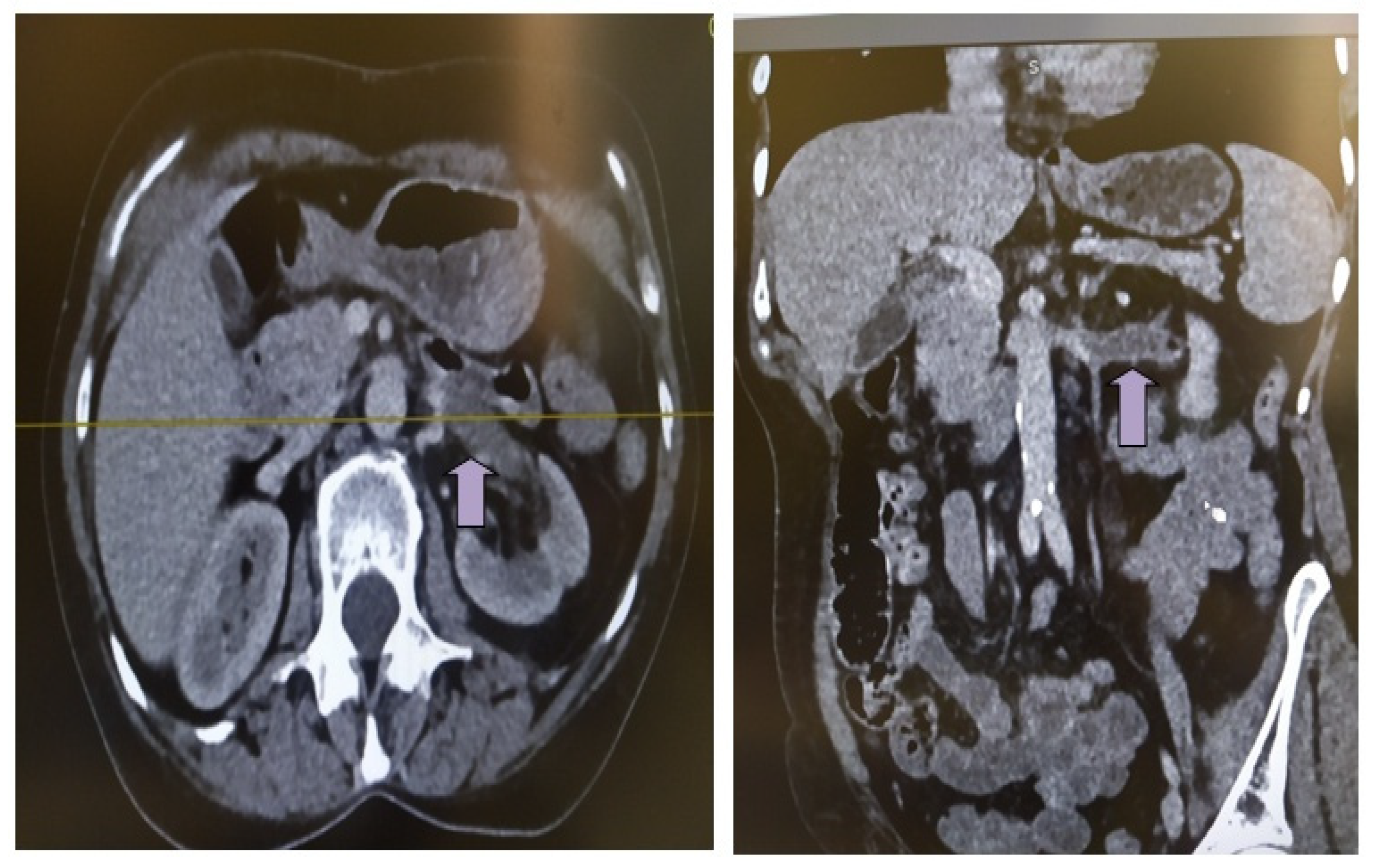
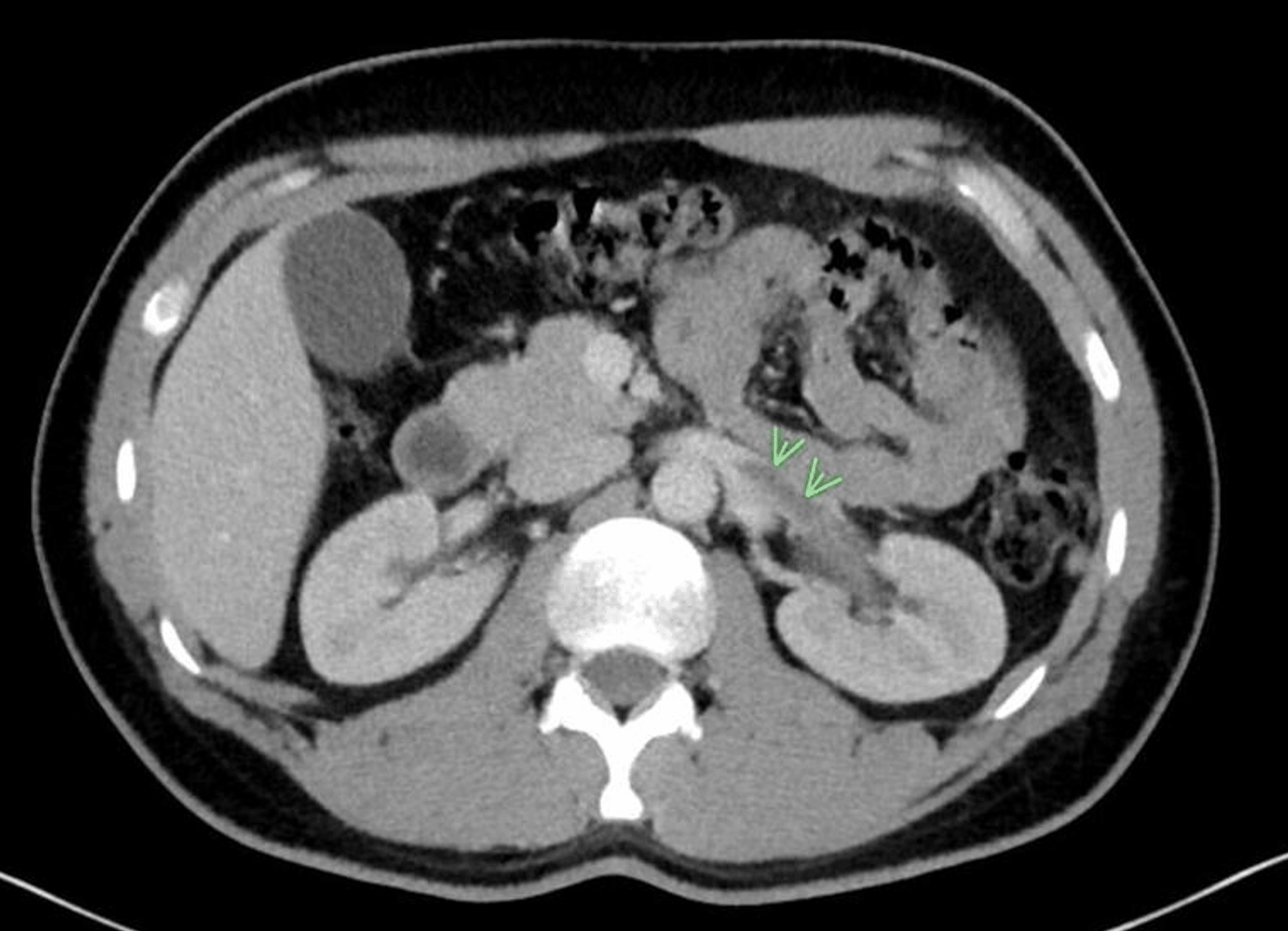
Case Report On Renal Vein Thrombosis . The presenting symptoms of acute renal vein thrombosis (rvt) can often be confused with. a rare case of a 35 years old woman presented with renal arcuate vein thrombosis (ravt) and acute kidney injury. here, we describe a case of acute onset flank pain caused by unilateral renal vein thrombosis (rvt) in a previously healthy patient. renal vein thrombosis (rvt), the presence of thrombus in the major renal veins or its tributaries, is a rare clinical entity.
from www.academia.edu
The presenting symptoms of acute renal vein thrombosis (rvt) can often be confused with. a rare case of a 35 years old woman presented with renal arcuate vein thrombosis (ravt) and acute kidney injury. here, we describe a case of acute onset flank pain caused by unilateral renal vein thrombosis (rvt) in a previously healthy patient. renal vein thrombosis (rvt), the presence of thrombus in the major renal veins or its tributaries, is a rare clinical entity.
(PDF) Primary renal vein thrombosis a case report Aydın Zeki
Case Report On Renal Vein Thrombosis here, we describe a case of acute onset flank pain caused by unilateral renal vein thrombosis (rvt) in a previously healthy patient. a rare case of a 35 years old woman presented with renal arcuate vein thrombosis (ravt) and acute kidney injury. here, we describe a case of acute onset flank pain caused by unilateral renal vein thrombosis (rvt) in a previously healthy patient. The presenting symptoms of acute renal vein thrombosis (rvt) can often be confused with. renal vein thrombosis (rvt), the presence of thrombus in the major renal veins or its tributaries, is a rare clinical entity.
From www.researchgate.net
(PDF) Extensive deep vein thrombosis treatment using fondaparinux and Case Report On Renal Vein Thrombosis here, we describe a case of acute onset flank pain caused by unilateral renal vein thrombosis (rvt) in a previously healthy patient. a rare case of a 35 years old woman presented with renal arcuate vein thrombosis (ravt) and acute kidney injury. The presenting symptoms of acute renal vein thrombosis (rvt) can often be confused with. renal. Case Report On Renal Vein Thrombosis.
From www.researchgate.net
(PDF) Case report Application of nonsurgical method in saving Case Report On Renal Vein Thrombosis The presenting symptoms of acute renal vein thrombosis (rvt) can often be confused with. renal vein thrombosis (rvt), the presence of thrombus in the major renal veins or its tributaries, is a rare clinical entity. here, we describe a case of acute onset flank pain caused by unilateral renal vein thrombosis (rvt) in a previously healthy patient. . Case Report On Renal Vein Thrombosis.
From www.academia.edu
(PDF) Primary renal vein thrombosis a case report Aydın Zeki Case Report On Renal Vein Thrombosis a rare case of a 35 years old woman presented with renal arcuate vein thrombosis (ravt) and acute kidney injury. renal vein thrombosis (rvt), the presence of thrombus in the major renal veins or its tributaries, is a rare clinical entity. The presenting symptoms of acute renal vein thrombosis (rvt) can often be confused with. here, we. Case Report On Renal Vein Thrombosis.
From www.researchgate.net
(PDF) Unexpected success in early posttransplantation renal vein Case Report On Renal Vein Thrombosis renal vein thrombosis (rvt), the presence of thrombus in the major renal veins or its tributaries, is a rare clinical entity. a rare case of a 35 years old woman presented with renal arcuate vein thrombosis (ravt) and acute kidney injury. here, we describe a case of acute onset flank pain caused by unilateral renal vein thrombosis. Case Report On Renal Vein Thrombosis.
From www.mdpi.com
Life Free FullText Acute Renal Vein Thrombosis Following COVID19 Case Report On Renal Vein Thrombosis a rare case of a 35 years old woman presented with renal arcuate vein thrombosis (ravt) and acute kidney injury. The presenting symptoms of acute renal vein thrombosis (rvt) can often be confused with. renal vein thrombosis (rvt), the presence of thrombus in the major renal veins or its tributaries, is a rare clinical entity. here, we. Case Report On Renal Vein Thrombosis.
From www.ctisus.com
Renal Vein Thrombosis Genitourinary Case Studies CTisus CT Scanning Case Report On Renal Vein Thrombosis a rare case of a 35 years old woman presented with renal arcuate vein thrombosis (ravt) and acute kidney injury. The presenting symptoms of acute renal vein thrombosis (rvt) can often be confused with. renal vein thrombosis (rvt), the presence of thrombus in the major renal veins or its tributaries, is a rare clinical entity. here, we. Case Report On Renal Vein Thrombosis.
From www.researchgate.net
(PDF) Case report adrenal phaeochromocytoma presenting with ileus Case Report On Renal Vein Thrombosis here, we describe a case of acute onset flank pain caused by unilateral renal vein thrombosis (rvt) in a previously healthy patient. renal vein thrombosis (rvt), the presence of thrombus in the major renal veins or its tributaries, is a rare clinical entity. a rare case of a 35 years old woman presented with renal arcuate vein. Case Report On Renal Vein Thrombosis.
From www.researchgate.net
(PDF) Gastric perforation and renal vein thrombosis in acute Case Report On Renal Vein Thrombosis The presenting symptoms of acute renal vein thrombosis (rvt) can often be confused with. here, we describe a case of acute onset flank pain caused by unilateral renal vein thrombosis (rvt) in a previously healthy patient. a rare case of a 35 years old woman presented with renal arcuate vein thrombosis (ravt) and acute kidney injury. renal. Case Report On Renal Vein Thrombosis.
From www.researchgate.net
(PDF) Renal Vein Thrombosis Occurring in Association with Oral Case Report On Renal Vein Thrombosis renal vein thrombosis (rvt), the presence of thrombus in the major renal veins or its tributaries, is a rare clinical entity. a rare case of a 35 years old woman presented with renal arcuate vein thrombosis (ravt) and acute kidney injury. The presenting symptoms of acute renal vein thrombosis (rvt) can often be confused with. here, we. Case Report On Renal Vein Thrombosis.
From www.researchgate.net
(PDF) Successful salvage of allograft dysfunction triggered by Case Report On Renal Vein Thrombosis The presenting symptoms of acute renal vein thrombosis (rvt) can often be confused with. here, we describe a case of acute onset flank pain caused by unilateral renal vein thrombosis (rvt) in a previously healthy patient. a rare case of a 35 years old woman presented with renal arcuate vein thrombosis (ravt) and acute kidney injury. renal. Case Report On Renal Vein Thrombosis.
From www.mdpi.com
Life Free FullText Acute Renal Vein Thrombosis Following COVID19 Case Report On Renal Vein Thrombosis here, we describe a case of acute onset flank pain caused by unilateral renal vein thrombosis (rvt) in a previously healthy patient. renal vein thrombosis (rvt), the presence of thrombus in the major renal veins or its tributaries, is a rare clinical entity. a rare case of a 35 years old woman presented with renal arcuate vein. Case Report On Renal Vein Thrombosis.
From www.cureus.com
Cureus Renal Vein Thrombosis Treated With Apixaban in a Patient With Case Report On Renal Vein Thrombosis The presenting symptoms of acute renal vein thrombosis (rvt) can often be confused with. a rare case of a 35 years old woman presented with renal arcuate vein thrombosis (ravt) and acute kidney injury. renal vein thrombosis (rvt), the presence of thrombus in the major renal veins or its tributaries, is a rare clinical entity. here, we. Case Report On Renal Vein Thrombosis.
From www.researchgate.net
(PDF) Acute bilateral renal vein thrombosis diagnosis and management a Case Report On Renal Vein Thrombosis The presenting symptoms of acute renal vein thrombosis (rvt) can often be confused with. a rare case of a 35 years old woman presented with renal arcuate vein thrombosis (ravt) and acute kidney injury. here, we describe a case of acute onset flank pain caused by unilateral renal vein thrombosis (rvt) in a previously healthy patient. renal. Case Report On Renal Vein Thrombosis.
From www.researchgate.net
(PDF) Annals of Clinical and Medical Case Reports Case Report Case Report On Renal Vein Thrombosis The presenting symptoms of acute renal vein thrombosis (rvt) can often be confused with. a rare case of a 35 years old woman presented with renal arcuate vein thrombosis (ravt) and acute kidney injury. renal vein thrombosis (rvt), the presence of thrombus in the major renal veins or its tributaries, is a rare clinical entity. here, we. Case Report On Renal Vein Thrombosis.
From www.researchgate.net
(PDF) Acute on chronic bilateral renal vein thrombosis in the setting Case Report On Renal Vein Thrombosis here, we describe a case of acute onset flank pain caused by unilateral renal vein thrombosis (rvt) in a previously healthy patient. renal vein thrombosis (rvt), the presence of thrombus in the major renal veins or its tributaries, is a rare clinical entity. a rare case of a 35 years old woman presented with renal arcuate vein. Case Report On Renal Vein Thrombosis.
From www.researchgate.net
(PDF) Renal vein thrombosis due to metastatic germ cell tumor, report Case Report On Renal Vein Thrombosis here, we describe a case of acute onset flank pain caused by unilateral renal vein thrombosis (rvt) in a previously healthy patient. renal vein thrombosis (rvt), the presence of thrombus in the major renal veins or its tributaries, is a rare clinical entity. a rare case of a 35 years old woman presented with renal arcuate vein. Case Report On Renal Vein Thrombosis.
From vdocuments.mx
Large Renal Cavernous Hemangioma With Renal Vein Thrombosis Case Case Report On Renal Vein Thrombosis here, we describe a case of acute onset flank pain caused by unilateral renal vein thrombosis (rvt) in a previously healthy patient. renal vein thrombosis (rvt), the presence of thrombus in the major renal veins or its tributaries, is a rare clinical entity. The presenting symptoms of acute renal vein thrombosis (rvt) can often be confused with. . Case Report On Renal Vein Thrombosis.
From www.researchgate.net
(PDF) Acute Renal Vein Thrombosis Following COVID19 in a Lupus Patient Case Report On Renal Vein Thrombosis here, we describe a case of acute onset flank pain caused by unilateral renal vein thrombosis (rvt) in a previously healthy patient. The presenting symptoms of acute renal vein thrombosis (rvt) can often be confused with. renal vein thrombosis (rvt), the presence of thrombus in the major renal veins or its tributaries, is a rare clinical entity. . Case Report On Renal Vein Thrombosis.